Мифы и правда про туберкулез. Жить здорово! Фрагмент выпуска от 24.03.2020
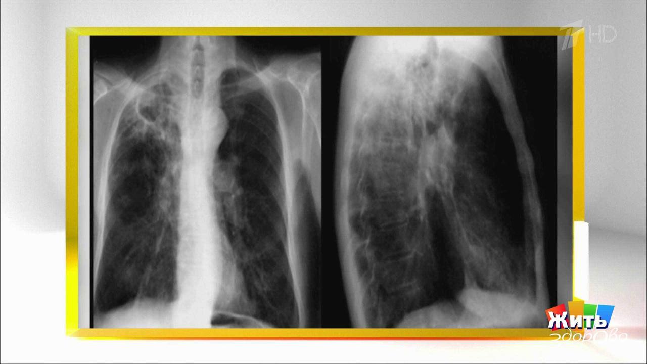
Туберкулез. Казалось, мы забыли об этой болезни, но в последнее время она подняла голову в России и во всем мире. Елена Малышева пригласила врача-фтизиатра Андрея Марьяндышева, чтобы он в студии ответил на популярные вопросы о туберкулезе. Правда ли туберкулез – болезнь нищих и бездомных? Опасен ли носитель палочки Коха для окружающих? Заразны ли больные туберкулезом? Туберкулез – это исключительно легочное заболевание? Он неизлечим? Что лучше – диаскинтест или реакция Манту?
Туберкулез. Казалось, мы забыли об этой болезни, но в последнее время она подняла голову в России и во всем мире. Елена Малышева пригласила врача-фтизиатра Андрея Марьяндышева, чтобы он в студии ответил на популярные вопросы о туберкулезе. Правда ли туберкулез – болезнь нищих и бездомных? Опасен ли носитель палочки Коха для окружающих? Заразны ли больные туберкулезом? Туберкулез – это исключительно легочное заболевание? Он неизлечим? Что лучше – диаскинтест или реакция Манту?
